Premalignant lesions of the oral cavity are abnormal areas of tissue that can develop into oral cancer. They are also known as potentially malignant disorders.
Common premalignant lesions
- Leukoplakia: White patches in the mouth
- Erythroplakia: Red patches in the mouth
- Oral lichen planus: A potentially malignant disorder that can appear in different subtypes
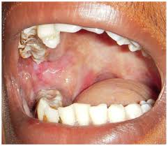
- Submucous fibrosis: A progressive scarring disorder linked to betel products
- Actinic cheilitis: A precancerous condition that causes rough, scaly, discolored patches on the lips
Risk factors
- Aging
- Tobacco and/or alcohol use
- Human papilloma virus (HPV)
- Candida infection
Detection
- A dentist can detect premalignant lesions during a soft tissue examination.
- A biopsy is recommended for suspicious lesions.
Management
- Risk modification
- Surveillance
- Symptom management
- Directed biopsies
- Excision or ablation of dysplastic lesions
Prognosis
- It's difficult to predict which lesions will transform and how long it will take.
- Many oral malignancies occur as squamous cell carcinomas (SCCs).